歯並びや口元の見え方が気になる場合、 歯科矯正治療はお悩みを解決できる方法のひとつです。
矯正治療を考えるにあたって、銀色の治療用の器具(ブラケット)やワイヤーが気になることから、なかなか治療に踏み切れない人もいるのではないでしょうか。
近年では従来のワイヤーを用いる矯正治療とは違い、目立たないマウスピース矯正が注目されています。
マウスピース矯正は透明のマウスピースを装着して歯科矯正を行う治療です。
歯の動きに合わせてマウスピースを交換し、理想的な歯並びを整えていきます。
従来のワイヤーを用いる矯正治療とは違い、透明のマウスピースは全く目立ちません。
またワイヤーを用いる矯正に比べて口腔内の清潔を保ちやすく、着脱が自分でできるメリットがあります。
一方で指示された装着時間を守らないと、予想通りの治療効果が発揮できずに治療期間が長引くこともあります。
マウスピース矯正で理想の笑顔へ
あなたにぴったりの矯正治療をご提案します
マウスピース矯正のメリット
マウスピース矯正の特徴
- 目立ちにくい: 透明なマウスピースなので、装着していることがほとんど分かりません。
- 衛生的: 取り外し可能なので、普段通り歯磨きができ、お口の中を清潔に保てます。
- 不快感が少ない: ワイヤーやブラケットを使用しないため、口内炎や痛みが少なく、食事も楽しめます。
- 通院回数を抑えられる: ステージごとのマウスピースをお渡しする事で、決まったタイミングでマウスピースをご自宅で交換していただくため、頻繁な通院が不要です。
当院が選ばれる5つの理由
1最適な矯正方法をオーダーメイドでご提案
当院では、「審美面のキレイライン矯正」※1「審美面と機能面のインビザライン」※2の2種類のマウスピース矯正をご用意しています。患者さんのお悩みやご希望を丁寧に伺い、どちらが最適か、または他の選択肢も考慮し、あなただけの治療計画をじっくりとご提案します。カウンセリングは患者さんに合わせて時間を調整し、納得して治療に進めるようサポートします。
※1 主に前歯の歯並びを整えるものになります
※2 奥歯の噛み合わせや、前歯の歯並び、バランスも含めて全体的に歯並びを整えるものになります
2仙台駅西口徒歩2分の好立地で通いやすい
仙台駅西口から徒歩2分と、アクセス抜群の立地です。お仕事帰りやお出かけのついでにも気軽に立ち寄ることができ、忙しい方でも無理なく通院を続けられます。
3女性医師による細やかで優しい治療
当院の女性医師は、患者さんのお気持ちに寄り添い、細やかな配慮と丁寧な説明を心がけています。話しやすい雰囲気づくりを大切にしているので、矯正に関するどんな些細なことでもお気軽にご相談ください。
4見た目の美しさと機能性を両立する総合的な歯科医療
マウスピース矯正だけでなく、セラミック治療やホワイトニングなど、歯の見た目をより美しくするための治療も充実しています。また、精密根管治療やインプラントといった専門性の高い治療にも対応しており、お口全体の健康と美しさをトータルでサポートします。
当院で扱っているマウスピース矯正の種類
こんな方におすすめ!
- 前歯のちょっとしたすきっ歯やガタつきを改善したい方
- 短期間で費用を抑えて矯正したい方
- できるだけ目立たずに矯正したい方
キレイライン矯正は、前歯に特化した部分矯正です。 150,000円~400,000円程度の費用で、最短5ヶ月程度の治療期間で理想の歯並びに近づけます。
※治療期間には個人差があります。
キレイライン矯正の特長
-
低コスト・短期間
気になる前歯に絞って治療を行うため、全体矯正よりも費用と期間を抑えられます。
-
目立ちにくく不快感が少ない
厚さ約0.5mmの薄く柔らかいマウスピースなので、装着時の違和感が少なく、周囲に気づかれにくいのが魅力です。
-
精密な治療計画
膨大な歯列データとデジタル技術を駆使し、0.05mm単位、角度0.5度単位での精密な調整が可能です。
-
素材のこだわり
弾力性に優れ、ひび割れしにくい素材を使用。着け始めの痛みが感じにくく、歯を動かす力を維持しやすいというメリットがあります。
症例
| 術名 | 成人矯正(キレイライン) |
|---|---|
| 年齢 | 28歳 |
| 性別 | 男性 |
| 主訴 | 前歯の出っ張りが気になる |
| 診断名 | 上顎前突、叢生 |
| 治療内容 | 12ヶ月 |
| 治療期間 | 10回 |
| 費用 | 40万(月々の調整料含む) |
| リスク・副作用 | 疼痛、咬合時違和感など |
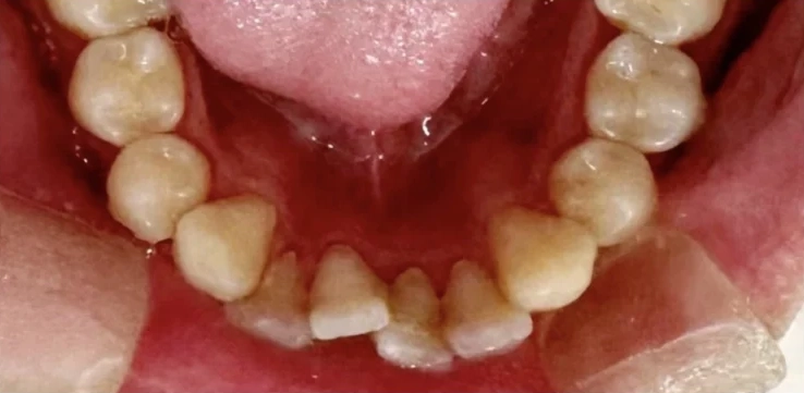
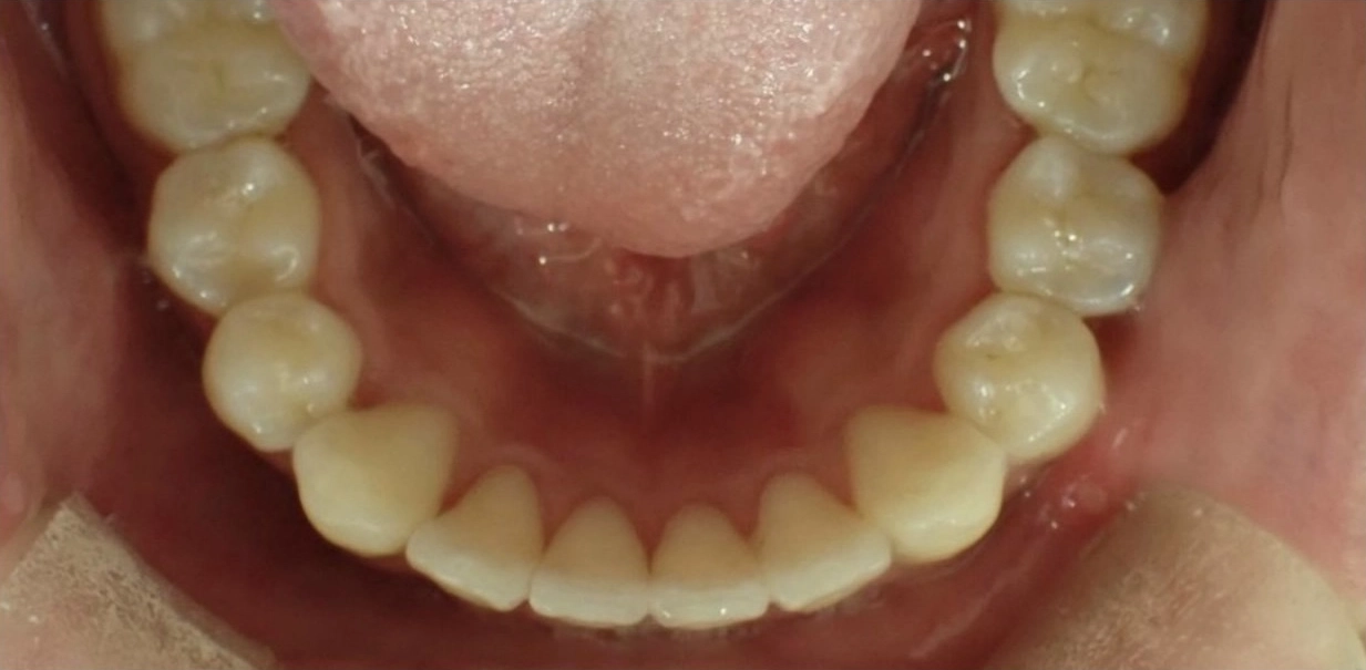
術前(写真)
術後(写真)
症例
| 術名 | 成人矯正(キレイライン) |
|---|---|
| 年齢 | 34歳 |
| 性別 | 女性 |
| 主訴 | 下の歯並びのガタガタが気になる |
| 診断名 | 叢生 |
| 治療内容 | 12ヶ月 |
| 治療期間 | 10回 |
| 費用 | 45万(月々の調整料、追加処置含む) |
| リスク・副作用 | 疼痛、咬合時違和感など |
術前(写真)

術後(写真)

こんな方におすすめ!
- 全体的な歯並びを根本的に改善したい方
- 複雑な症例だけど、マウスピース矯正を希望される方
- 治療のゴールを事前に確認したい方
インビザラインは、世界中で1,500万人以上の治療実績を持つ、全体矯正に対応できるマウスピース矯正です。軽度から重度の不正咬合まで、幅広い症例に対応可能です。
インビザラインの特長
-
独自の「スマートトラック素材」で効率的に歯を移動
インビザライン専用の「SmartTrack」素材は、歯にフィットしやすく、痛みも軽減される設計。毎週または隔週でマウスピースを交換でき、よりスピーディーな矯正も実現します。
-
世界中の膨大なデータとAIによる治療計画支援
世界中の治療データとAIを活用し、患者さん一人ひとりに最適な治療計画を策定。精密な計画で、複雑な症例にも対応します。
-
「スマートステージ設計」で緻密な歯の移動をコントロール
マウスピースごとに、1歯単位・0.25mm単位で歯の動きを細かくコントロールします。治療前に「最終的な歯並びの完成予想図(クリンチェック)」を確認できます。
-
「アタッチメント」や「顎間ゴム」使用による高い応用力
必要に応じて歯に小さな突起(アタッチメント)をつけたり、顎間ゴムを併用したりすることで、ワイヤー矯正と同等レベルの幅広い症例に対応できます。
まずは無料相談へお越しください
「私にはどのマウスピース矯正が合っているんだろう?」「費用はどれくらいかかるの?」 そんな疑問や不安を抱えている方は、ぜひ一度当院の無料相談をご利用ください。
【無料相談でできること】
- マウスピース矯正の種類や治療の流れについて詳しく説明します。
- あなたのお悩みやご希望を丁寧に伺い、最適な治療プランをご提案します。
- 矯正に関するどんな些細な疑問にもお答えします。

※相談時にレントゲン写真などの資料撮影が必要な場合、別途費用がかかる場合がございます。
キレイライン矯正をご希望の初診患者さんは、各種検査料・初診料として4,000円〜5,000円程度かかります。
※矯正診断料(詳細検査料)は33,000円(税込)です。
美しい歯並びと自信あふれる笑顔を手に入れるために、私たちがお手伝いさせていただきます。 ご来院を心よりお待ちしております。
ワイヤー矯正
症例によって、ワイヤーを用いた矯正を行なっております。常にお口の中に装置がある分、清潔に保ち辛くはなりますが、より確実に細かく歯を動かせるため、こちらの矯正方法をお勧めする事もございます。

